Что такое флюс?
В современной медицинской терминологии такой диагноз, как "зубной флюс" уже не используется. Другое название флюса – одонтогенный периостит. Но людям, далеким от медицины, проще и понятнее название флюс.
Самая распространенная причина флюса - это запущенный кариес. Кариес – это процесс разрушения эмали зуба, который позже перерастает в разрушение ткани самого зуба – дентина и воспалению пульпы – в медицине это называется пульпитом. Если долгое время не бороться с пульпитом, то может возникнуть абсцесс – это нагноение. Далее гной ищет выход наружу, проделывая каналы в костной ткани, останавливается только под надкостницей и начинает распирать окружающие ткани. В этих тканях происходит воспалительный процесс, который сопровождается нестерпимой пульсирующей болью и зачастую повышением температуры.

Опасность флюса - в его осложнениях. Почти всегда без лечения он переходит в абсцесс, а затем флегмону. Это сложные в лечении и опасные медицинские состояния, которые зачастую могут требовать реанимационной помощи.
Симптомы флюса
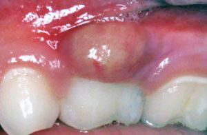
Если человек испытывает боль при нажатии на зуб, которая постепенно усиливается, есть боль при жевании, при постукивании по зубу, и, кроме этого, есть отечность десны и тканей вокруг больного зуба и припухлость лица - все это явные признаки флюса, иначе говоря, периостита.
Если у Вас есть эти симптомы, нужно как можно скорее обратиться к врачу. Если боль на какое-то время прошла, то это не значит, что исчезла и инфекция, ее нужно лечить. При флюсе никак нельзя пытаться самостоятельно избавиться от него – можно только усугубить ситуацию. Обращайтесь к нам в клинику, наши стоматологи помогут вам качественно и в кратчайшие сроки избавиться от проблемы, а наши цены Вас приятно удивят.
Лечение флюса
Лучше всего при первых же таких признаках обратиться к врачу-стоматологу. На первом этапе развития периостита есть возможность справиться с проблемой при помощи небольшого объема лечения и щадящими методами. Если же он перетек в гнойную стадию, то необходимо срочное оперативное вмешательство специалиста.
В любом случае врач обследует больную область, и, если понадобится, сделает под анестезией разрез на десне, удалит гной, установит дренаж, а затем назначит антибиотики и противовоспалительные.
Разрез может и не понадобиться, если процесс не запущен, то вскрывается канал, через него удаляется гной, и далее лечится как киста корня зуба. Ведь флюс и есть киста корня зуба, только разорвавшаяся.
После такого вмешательства воспалительный процесс проходит за 3-4 дня при условии выполнения всех врачебных рекомендаций.
Лечение флюса в домашних условиях
Необоснованный панический страх перед зубным врачом зачастую побуждает людей оттягивать поход к специалисту до тех пор, пока боль не станет невыносимой, и пытаться использовать любые обезболивающие лекарства и народные методы. Анальгетики, конечно же, немного притупляют боль на время и дают ложное ощущение улучшения. Но обманывать себя в таких случаях бесполезно - гной сам по себе не рассосется, чем дольше Вы будете тянуть с лечением - тем тяжелее будут осложнения и сложнее лечение.
В случаях, если пока посетить стоматолога нет никакой возможности, можно немного облегчить боль и уменьшить отек при помощи полосканий травяными отварами на основе шалфея лекарственного, зверобоя обыкновенного, коры дуба. Но домашнее лечение флюса бесполезно! Вам сможет помочь только стоматолог!
Рекомендации
- флюс нельзя греть, потому что тепло ускоряет кровоток и усиливает распространение гноя
- не принимайте обезболивающее перед посещением врача и без его назначения, так как оно маскирует клиническую картину заболевания
- если Вам сделали разрез, то не принимайте аспирин, потому что он снижает свертываемость крови и может начаться кровотечение из разреза
Несмотря на сильное развитие стоматологии, у большинства людей все еще сохранился стереотип, что посетить стоматолога – это обречь себя на сильную боль. Поэтому многие просто не хотят идти к врачу, чем еще больше усугубляют свое состояние, надеясь, что все само пройдет. Посещать стоматолога раньше было действительно больно, но сейчас ситуация другая – существует множество обезболивающих медикаментов, они неопасны для организма и достаточно эффективны, и человек не чувствует боли ни при лечении, ни при удалении зуба.